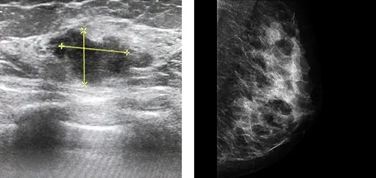
- Zmiana hipoechogeniczna to ciemniejszy obszar w tkance piersi widoczny w USG.
- Może mieć różne przyczyny, w tym torbiele, guzy, stany zapalne oraz zmiany pourazowe.
- Sama obecność zmiany hipoechogenicznej nie wystarcza do diagnozy nowotworowej.
- Wymagana jest dalsza diagnostyka, która może obejmować biopsję lub rezonans magnetyczny.
- Klasyfikacja BI-RADS ocenia ryzyko nowotworowe zmian hipoechogenicznych.
- W przypadku wykrycia takiej zmiany, kluczowe jest skonsultowanie się z lekarzem specjalistą.
Definicja zmiany hipoechogenicznej w piersi i jej znaczenie w USG
Zmiana hipoechogeniczna w piersi co to znaczy? Jest to termin używany w diagnostyce ultrasonograficznej, który odnosi się do obszarów w tkance piersi, prezentujących ciemniejszy obraz niż otaczające je tkanki. Taki wynik może budzić obawy, ale w wielu przypadkach nie oznacza on od razu problemu zdrowotnego. Kluczowe jest zrozumienie, co taka zmiana oznacza oraz jakie są jej implikacje.
| Echogeniczność | Opis |
|---|---|
| Hipoechogeniczna | Ciemniejszy obszar, odbijający mniej fal ultradźwiękowych |
| Hiperechogeniczna | Jaśniejszy obszar, odbijający więcej fal ultradźwiękowych |
Przyczyny zmian hipoechogenicznych w piersiach – co warto wiedzieć
Obecność zmian hipoechogenicznych w piersiach jest wynikiem mniejszych odbić fal ultradźwiękowych. Te zmiany mogą być spowodowane różnymi czynnikami, takimi jak torbiele w piersiach, które są zwykle łagodnymi i wypełnionymi płynem strukturami. Inne przyczyny to guzy piersi, które mogą być zarówno łagodne, jak gruczolakowłókniaki, jak i złośliwe, jak rak piersi.
Warto zaznaczyć, że zmiany hipoechogeniczne mogą być również wynikiem stanów zapalnych lub urazów. Ostateczna diagnoza wymaga dokładnej analizy, ponieważ sama obecność takiej zmiany nie wystarczy do oceny ryzyka nowotworowego.
Czytaj więcej: Jak często badać piersi? Częstotliwość badań dla zdrowia kobiet
Rodzaje zmian hipoechogenicznych – torbiele, guzy, stany zapalne
Zmiany hipoechogeniczne można sklasyfikować według kilku kategorii, co ułatwia ich zrozumienie. Do najczęstszych rodzajów zaliczamy:
- Torbiele: Zwykle są to łagodne, wypełnione płynem struktury.
- Guzy: Mogą to być zmiany łagodne lub złośliwe.
- Zmiany zapalne: Mogą skutkować obrzękiem tkanek.
- Zmiany pourazowe: Ogniska wynikające z urazów.
Jakie są potencjalne skutki zdrowotne zmian hipoechogenicznych?
Skutki zdrowotne związane z zmianą hipoechogeniczną w piersi mogą być zróżnicowane. W przypadku zmian łagodnych, takich jak torbiele, nie ma zazwyczaj powodów do obaw, ale wymagają one regularnego monitorowania. Z drugiej strony, zmiany złośliwe mogą prowadzić do poważnych konsekwencji zdrowotnych, takich jak rak piersi, co wymaga natychmiastowej interwencji medycznej.
Dlatego tak istotne jest, aby każdą zmianę w piersi traktować poważnie i zasięgnąć porady lekarza, szczególnie gdy występują inne symptomy, takie jak ból czy zmiany skórne.
Diagnostyka zmian hipoechogenicznych w piersi – kluczowe informacje
Diagnostyka zmian hipoechogenicznych opiera się głównie na badaniach ultrasonograficznych (USG), które pozwalają zidentyfikować charakter zmian. W przypadku wykrycia takiej zmiany, kluczowe jest zlecenie dalszych badań, w tym biopsji, aby dokładnie określić, czy zmiana jest łagodna czy złośliwa. Rezonans magnetyczny piersi również może pomóc w ocenie stanu tkanek, a badania genetyczne mogą być wskazane w przypadku rodzinnych historii nowotworów.
Klasyfikacja BI-RADS – co musisz wiedzieć o ocenie ryzyka
Klasyfikacja BI-RADS, czyli Breast Imaging Reporting and Data System, to system oceny wyników badań obrazowych piersi. Pomaga on w określeniu ryzyka nowotworowego zmian hipoechogenicznych, klasyfikując je od BI-RADS 1 (brak nieprawidłowości) do BI-RADS 5 (wysokie ryzyko nowotworu).
Znajomość tej klasyfikacji może być przydatna dla pacjentek, aby zrozumieć, jakie kroki należy podjąć po wykonaniu badań oraz jakie są potencjalne następstwa. Wysokie klasyfikacje, takie jak BI-RADS 3 i wyższe, wymagają dalszej diagnostyki.
Kiedy należy udać się do specjalisty po wykryciu zmiany?
W przypadku wykrycia jakiejkolwiek zmiany w piersi, zawsze warto zasięgnąć porady specjalisty. W szczególności, jeśli występują następujące objawy, należy niezwłocznie udać się do lekarza:
- Wyczuwalne guzki lub zmiany w tkance piersi.
- Zmiany skórne, takie jak zaczerwienienie czy łuszczenie.
- Ból w obrębie piersi.
- Nienaturalne wydzielanie z brodawki.
Znaczenie regularnych badań piersi dla zdrowia kobiet
Regularne badania piersi są kluczowym elementem profilaktyki nowotworowej. Wczesne wykrywanie zmian hipoechogenicznych oraz innych nieprawidłowości może znacząco zwiększyć szanse na skuteczne leczenie. Dzięki systematycznym kontrolom można szybciej reagować na potencjalne problemy.
Nie należy czekać na objawy, aby udać się do lekarza. Regularne badania, takie jak mammografia, powinny stać się rutyną każdej kobiety.
Poradnik dla pacjentek – co zrobić po wykryciu zmiany
Częste błędy w interpretacji wyników USG piersi
Interpretacja wyników USG piersi nie jest prosta i często prowadzi do mylnych diagnoz. Wiele kobiet myli hipoechogeniczne zmiany z nowotworami, co może prowadzić do niepotrzebnego stresu. W rzeczywistości, wiele z takich zmian okazuje się być łagodnych, a ich obecność nie zawsze oznacza ryzyko zdrowotne. Kluczowe jest, aby wyniki konsultować z doświadczonym specjalistą.| Typ błędu | Opis |
|---|---|
| Nadmierna panika | Przesadna interpretacja wyników przez pacjentki. |
| Bagatelizowanie wyników | Nieprzykładanie wagi do zmian, które wymagają dalszej diagnostyki. |
Zmiany hipoechogeniczne a rak piersi – jakie jest ryzyko?
Zmiany hipoechogeniczne mogą budzić obawy dotyczące ryzyka wystąpienia raka piersi. Istnieje związek między niektórymi rodzajami zmian hipoechogenicznych a nowotworami, ale nie każda zmiana oznacza złośliwość. Dlatego tak ważne jest przeprowadzenie odpowiedniej diagnostyki, która pozwoli ocenić ryzyko oraz zobaczyć, czy konieczne jest dalsze działanie.
Ostateczna ocena ryzyka powinna być oparta na wynikach badań oraz klasyfikacji BI-RADS. Wczesna diagnoza i odpowiednia diagnostyka mogą uratować życie, dlatego nie warto zwlekać z wizytą u specjalisty.
Rola edukacji w zrozumieniu zdrowia piersi i zmian hipoechogenicznych
Edukacja w zakresie zdrowia piersi jest kluczowa dla każdej kobiety. Zrozumienie, co oznaczają zmiany hipoechogeniczne i jak je monitorować, może pomóc w szybszym reagowaniu na potencjalne zagrożenia. Warto korzystać z dostępnych źródeł wiedzy, aby być dobrze poinformowanym i dbać o swoje zdrowie.
- Porady lekarzy specjalistów.
- Informacje z rzetelnych publikacji medycznych.
- Kursy i warsztaty dotyczące zdrowia piersi.
Kluczowe informacje o zmianach hipoechogenicznych w piersiach
Zmiana hipoechogeniczna w piersi to termin, który odnosi się do obszarów wychwytywanych w badaniach USG, które mogą wskazywać na różnorodne stany zdrowotne. Ważne jest, aby każda zmiana była interpretowana w kontekście dalszej diagnostyki, takiej jak biopsja czy klasyfikacja BI-RADS, które pozwalają na ocenę ryzyka nowotworowego. Jak wykazano w artykule, zmiany te mogą być spowodowane różnymi czynnikami, od łagodnych torbieli po potencjalnie złośliwe guzy, co podkreśla znaczenie regularnych badań.
Obecność hipoechogenicznych zmian w piersiach nie musi oznaczać problemów zdrowotnych, lecz wymaga uważnej obserwacji i ewentualnych wizyt u specjalisty. Odpowiednie podejście do diagnostyki i edukacja w zakresie zdrowia piersi są kluczowe dla szybkiego reagowania na potencjalne zagrożenia. Przyczynia się to do lepszej ochrony zdrowia kobiet oraz zwiększa szanse na skuteczne leczenie, tym samym podkreślając, jak istotne jest posiadanie wiedzy na temat własnego ciała i regularne monitorowanie jego zmian.
